SAME-DAY APPOINTMENTS FOR DENTAL EMERGENCIES! CONTACT US

DO YOU NEED YOUR WISDOM TEETH REMOVED? CONTACT US

OUR GALLERY

GALLERY

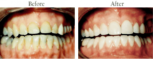
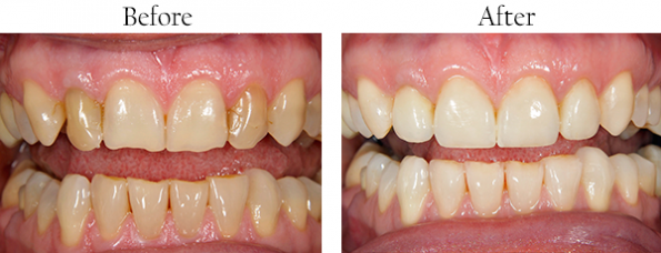
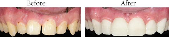
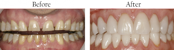
Welcome to the TruCare Dental smile gallery! Dr. Andrea Patterson, Dr. Kendra Velázquez or Dr. Margo Rainey are delighted to feature our patients and celebrate their success. Learn more about how our dentists and dental care in Albuquerque, New Mexico, can help your smile by browsing below. Call us at 505-369-0074 if you have any questions.